Protetika
Protetika je odvětví stomatologie, které se věnuje náhradě ztracených zubů a části zubů.
Řešení pro každý problém
Našim klientům nabízíme širokou škálu řešení, z nichž vždy spolu s klientem vybereme pro něj to nejlepší a to jak z hlediska funkce, estetiky a pohodlí, tak z hlediska ceny.
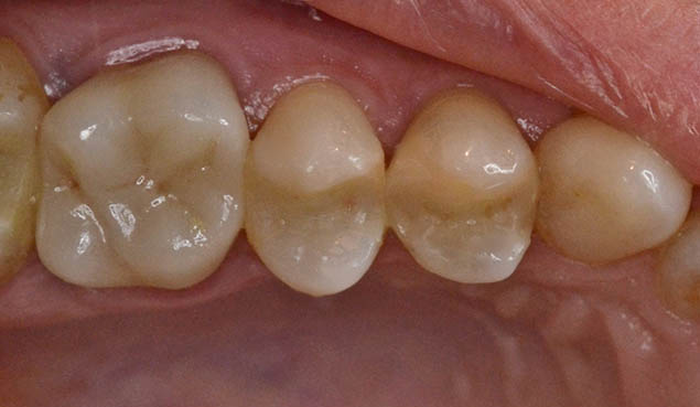
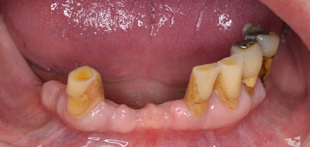
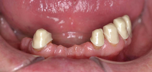
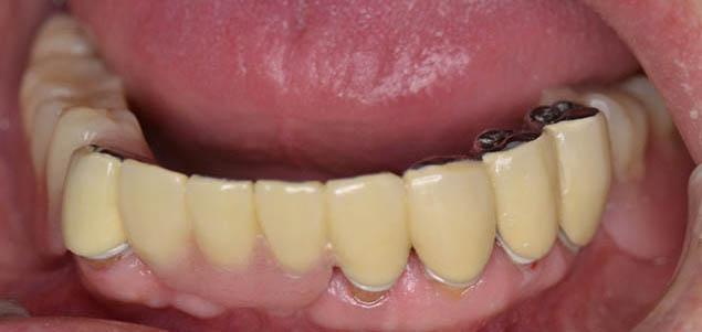
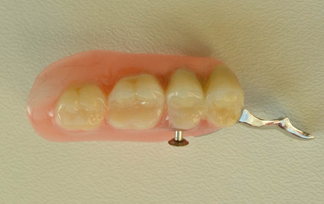
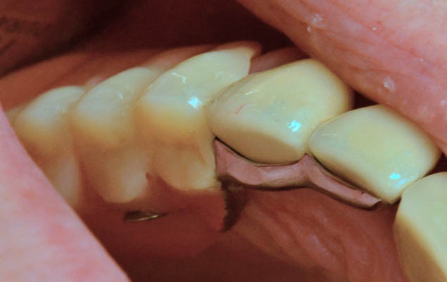
Pro jednotlivé zuby, které jsou natolik poničené, že již není možné je spravovat výplněmi (plombami) nabízíme „částečné korunky“ (tzv. onlaye), korunky či fasety. Ztracené zuby nahrazujeme dentálními implantáty, nebo můstky. Můstky jsou náhrady nasazené a nalepené napevno na vlastních zubech, které je ale nutné napřed částečně obrousit. Chybějící zuby jsou nahrazeny tzv. mezičleny, které jsou spojeny s korunkami na vlastních zubech.
Zuby „na počkání“
Korunky, částečné korunky, fasety a malé můstky z keramických materiálů (bezkovové, vysoce estetické náhrady) zhotovujeme na počkání pomocí systému CEREC.
Touto cestou jsme schopni řešit nejen náhradu ztracených zubů a jejich částí, ale i četné estetické problémy, které klienty trápí, tzv. celkovou rekonstrukcí.
Chcete ušetřit?
Pokud je cena Vaší prioritou, nabízíme též levnější, byť méně estetické korunky a můstky kovové a fasetované (kovové s bílou přední ploškou z plastu).
Snímatelné protézy
Došlo-li již ke ztrátě velkého množství zubů, či jsou-li zbylé zuby natolik oslabené, že nemohou nést „zuby napevno“, nabízíme též širokou škálu snímatelných náhrad – od jednoduchých plastových náhrad „na pojišťovnu“ přes kovové skelety až po vysoce sofistikované jednostranné protézky, které nezasahují na patro a teleskopické protézy, které podporují a dlahují zbylé zuby, výborně drží, jsou velmi estetické a rovněž většinou nezasahují na patro, nebo pouze minimálně.
Specializovaný tým
Odborníkem na protetiku je v naší praxi vedoucí lékař MUDr. Martin Čelko, který se stará o klienty se zájem o komplexní protetické řešení a složitější práce. Jednodušší korunky, můstky a protézy zhotovuje též MUDr. Klára Tomková







