Estetická stomatologie
Staré výplně, esteticky nevyhovující protetické práce, probarvené mrtvé zuby a mezery v chrupu. To jsou problémy, které sice nebolí, přesto však jsou zdrojem trápení mnohých pacientů. Díky moderním postupům a technologiím zavedených v naší praxi dokážeme zcela změnit vzhled Vašich zubů. Esteticky i funkčně dokonalý výsledek můžeme dosáhnout kombinací kompozitních výplní, tenkých estetických faset, keramických korunek a dentálních implantátů.
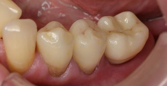
Staré, tvarem nebo barvou nevyhovující výplně lze vyměnit za nové. I černé amalgámové výplně lze za určitých podmínek nahradit kompozitem - bílou plombou. Zuby takto restaurované často vypadají, jako by nikdy poškozeny nebyly.
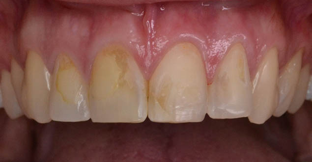
Máte mnohokrát spravované, probarvené, „žluté“, „křivé“, zkrátka „ošklivé“ přední zuby? Vykouzlíme Vám nový úsměv podle vašich představ pomocí estetických faset z keramiky, které jsou nejen hezké, ale též šetrné k vašim zubům.






