Endodoncie
Co je endodoncie a kdy je potřebná
Endodoncie se zabývá zubní dření, v praxi praktického zubního lékaře pak nejčastěji ošetřením kořenových kanálků. To přichází na řadu v případě, že zubní kaz již dosáhne dřeňové dutiny zubu. Je také nutné tam, kde došlo k nevratnému zánětu či odumření zubní dřeně, což může vyvolat například výše zmiňovaný kaz, ale také úraz zubu.
Zubní kaz sám o sobě nebolí. Přichází-li nemocný s bolavým zubem, následuje již povětšinou právě ošetření kořenových kanálků.

Podstata endodontického ošetření
Při endodontickém ošetření je naším cílem vyčistit kořenový systém zubu (mechanicky i chemicky) a poté jej zaplnit. Kořenový systém sestává z jednoho či více kořenových kanálků, přičemž některé zuby (jmenujme horní první stoličky) mívají běžně tyto kanálky až čtyři. Plnění provádíme čepy složenými z přírodní pryskyřice a oxidu zinečnatého. Takovýto materiál vydrží na místě neomezeně dlouhou dobu, přičemž ale umožňuje práci v nutném případě předělat.
Čím přesněji jsou kanálky zaplněny (výsledek práce kontrolujeme rentgenologicky), tím lepší je vyhlídka zubu do budoucna. Známkou selhání ošetření je dlouhodobá přítomnost zánětlivého ložiska okolo zubu v kosti (lidově známé „váčky“), která záporně ovlivňuje stav organizmu a zároveň může kdykoli vést k bolesti a otoku. Naším cílem je tedy vzniku těchto ložisek předcházet.
Poněvadž korunka zubu po endodontickém zásahu bývá z podstatné části ztracena, ve většině případů překrýváme takové zuby umělými korunkami, jinak hrozí jejich rozlomení.


Varianty endodontického ošetření
Naši pacienti si mohou vybrat ze dvou provedení opracování a plnění kořenových kanálků:
Zdravotní pojišťovny hradí takzvanou metodu centrálního čepu. Jejím podkladem je vyplnění kanálků čepy jednotných rozměrů. Protože tato cesta nevede k přesným výsledkům, očekáváme u ní v průběhu času přítomnost zánětlivého ložiska v okolí zubu. Nedoporučujeme ji tedy jako dlouhodobě spolehlivou variantu (toto stanovisko zaujímá mimo jiné i odborná společnost v oboru endodoncie, Česká endodontická společnost) a na takto ošetřené zuby nenabízíme estetické varianty restaurace zubu.
Druhou možností je zvolit nadstandardní variantu, totiž moderní metodu vertikální tepelné kondenzace. Principem je důkladné vypracování tvaru kanálků ohebnými nástroji a jejich utěsnění výplňovým materiálem, který je roztaven a tím zajistí velmi přesné přilnutí. Tato možnost nabízí daleko větší spolehlivost a podmiňuje obdaření zubu nadstandardní formou náhrady korunky (typicky estetickou keramickou korunkou zhotovenou systémem Cerec). Nevýhodou je větší materiálová i časová náročnost. Tuto metodu nehradí zdravotní pojišťovny.
Endodontickému ošetření u nás vždy (nehledě na variantu) předchází místní znecitlivění (anestézie) zubu, pacienti se tedy nemusí bát bolesti, jež bývá s „čištěním kanálků“ mnohdy spojována.
V případě, že léčíme kanálky zubu, který již jednou jejich ošetření hrazené zdravotní pojišťovnou měl (provádíme tedy tzv. reendodoncii), je nutná druhá varianta ošetření, neboť pojišťovny opakované ošetření kořenových kanálků nehradí.
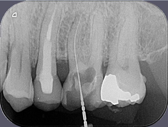
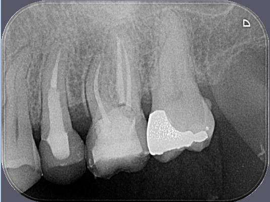
Porovnání průměrného ošetření způsobem plně hrazeným ze zdravotního pojištění (obrázek vlevo) a ošetření způsobem nadstandardním (obrázek téhož zubu po přeléčení vpravo) mohou přinést rentgenologické snímky níže.


Specializace
Na ošetření kořenových kanálků se v naší praxi zaměřuje MDDr. Jan Folke.
