CEREC - korunky na počkání a bez otiskování
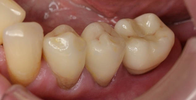
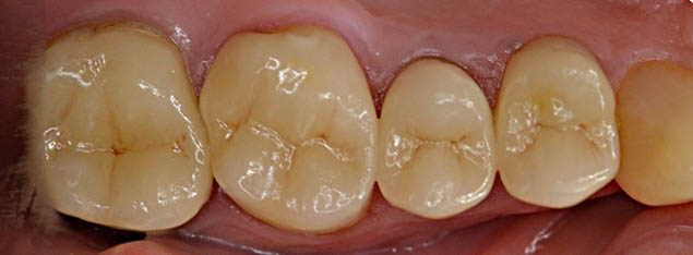
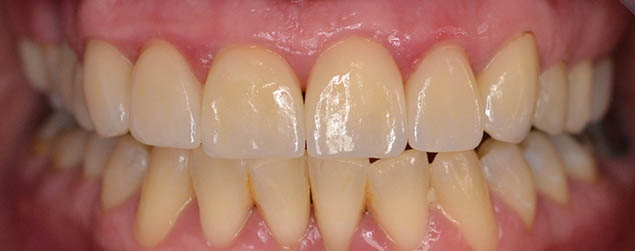
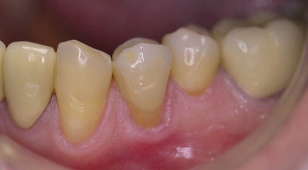
V naší praxi využíváme jednu z nejmodernějších technologií stomatologie – systém CEREC, který umožňuje zhotovení celokeramických korunek (a dalších menších fixních náhrad) na počkání.
Jak to probíhá?
Na začátku je nutné zuby mírně obrousit, jako pro každou korunku. Poté se zuby opticky naskenují speciální kamerou, která přenese informace do počítače. Zubní lékař vytvoří digitální návrh práce, která se pak vyfrézuje počítačem řízenou frézou ze speciálního keramického bločku. Po dokončení, individualizaci a glazuře se korunka nafixuje (nalepí) do úst. Celý tento proces trvá obvykle 1,5 hodiny (v případě zhotovení jedné korunky).
Jaké jsou výhody?
-
Estetika – celokeramické materiály jsou nejestetičtější vůbec. Pro zhotovování prací systémem CEREC používáme materiály těch nejlepších optických vlastností a po vyfrézování práce ještě vždy barevně a esteticky individualizujeme, aby co nejlépe a nejvěrněji zapadly mezi ostatní zuby a byly k nerozeznání od vlastních - Přesnost – celá výroba korunky je řízena počítačem, což zaručuje její absolutní přesnost v naléhání na zub. To je nezbytnou podmínkou pro dlouhodobou trvanlivost práce i zubu.
- Odpadá otiskování – minimalizuje se problém dávení.
- Biologické vlastnosti (biokompatibilita) – vlastnosti materiálů používaných systémem CEREC jsou velmi podobné vlastnostem zubní skloviny a vykazují vysokou stabilitu v ústech.
-
Šetrnost – pro celokeramické náhrady není nutné oslabovat zuby přílišným broušením, materiál je odolný i v tenkých vrstvách a lze ho vyfrézovat dotenka až 0,5 mm. Proto stačí odebrat jen opravdu minimální nutné množství tkání zubu. (foto s fasetami na LKS) - Fixace – celokeramické materiály je možno po speciální povrchové úpravě „nalepit“ na zub tak, že se stanou téměř jeho nedílnou součástí,
- Rychlost – celé ošetření je velmi rychlé, odpadají zdlouhavé laboratorní fáze výroby a ve většině případů je možné ho provést „na počkání“.
- Využití – systém CEREC má široké využití téměř ve všech situacích. Lze jím zhotovit keramické výplně, estetické fasety, korunky, menší můstky a to na vlastních zubech i implantátech. Lze pomocí něj rovněž provést kompletní celkovou estetickou rekonstrukci chrupu.
CEREC v naší praxi
MUDr. Martin Čelko má se systémem CEREC bohaté zkušenosti. Pracuje s ním již od roku 2011 a na svém kontě má přes 3000 prací. Absolvoval četná školení a stáže a dále se vzdělává. Kromě toho též sám o práci s CERECem přednáší pro zubní lékaře (začátečníky i pokročilé) a studenty. V březnu 2012 získal Certifikát mezinárodního CEREC trenéra na konferenci ISCD (Mezinárodní společnost CAD/CAM stomatologie) v Istanbulu.








